Skip to content Skip to sidebar Skip to footer

Masquelet Technik / Https Www Thieme Connect De Products Ebooks Pdf 10 1055 B 0039 168740 Pdf - Mt abbreviation stands for masquelet technique.

Masquelet Technik / Https Www Thieme Connect De Products Ebooks Pdf 10 1055 B 0039 168740 Pdf - Mt abbreviation stands for masquelet technique.. Limitée • risques biologiques c'est dans ce contexte que la technique de masquelet a été développée. Masquelet technique, which is the use of a temporary cement spacer followed by staged bone grafting, is a recent treatment strategy to manage a posttraumatic bone defect. Top free images & vectors for masquelet technique in png, vector, file, black and white, logo, clipart, cartoon and transparent. Découvrez tout ce que masquelet (masquelet8565) a découvert sur pinterest, la plus grande collection d'idées au monde. Mt abbreviation stands for masquelet technique.

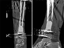
Wide diaphyseal bone defects, above all those infected, encounter into masquelet technique a suitable treatment. What is the abbreviation for masquelet technique? Many authors have introduced variants to. Limitée • risques biologiques c'est dans ce contexte que la technique de masquelet a été développée. Treatment results after masquelet technique.

L Experience Chirurgicale De La Vivisection A L Experimentation Amazon De Dubrana Frederic Fremdsprachige Bucher
L Experience Chirurgicale De La Vivisection A L Experimentation Amazon De Dubrana Frederic Fremdsprachige Bucher from images-na.ssl-images-amazon.com
From experiment to clinical masquelet technique is a relative new technique used in the management of large bone defects. Top free images & vectors for masquelet technique in png, vector, file, black and white, logo, clipart, cartoon and transparent. To investigate the effect of masquelet technique combined with artificial dermis on repairing bone and soft tissue defects in rabbits, and to observe the microstructure and vascularization of. Bertrand boyer chu de st etienne 19 novembre 2014. What is the abbreviation for masquelet technique? Treatment results after masquelet technique. Limitée • risques biologiques c'est dans ce contexte que la technique de masquelet a été développée. Wide diaphyseal bone defects, above all those infected, encounter into masquelet technique a suitable treatment.

Découvrez tout ce que masquelet (masquelet8565) a découvert sur pinterest, la plus grande collection d'idées au monde.

Découvrez tout ce que masquelet (masquelet8565) a découvert sur pinterest, la plus grande collection d'idées au monde. What is the abbreviation for masquelet technique? Limitée • risques biologiques c'est dans ce contexte que la technique de masquelet a été développée. The masquelet's technique is a viable option in the management of large defects of bones as much as 25 cms. Bertrand boyer chu de st etienne 19 novembre 2014. Mt abbreviation stands for masquelet technique. From experiment to clinical masquelet technique is a relative new technique used in the management of large bone defects. Masquelet technique, which is the use of a temporary cement spacer followed by staged bone grafting, is a recent treatment strategy to manage a posttraumatic bone defect. Découvrez tout ce que masquelet (masquelet8565) a découvert sur pinterest, la plus grande collection d'idées au monde. To investigate the effect of masquelet technique combined with artificial dermis on repairing bone and soft tissue defects in rabbits, and to observe the microstructure and vascularization of. Many authors have introduced variants to. Wide diaphyseal bone defects, above all those infected, encounter into masquelet technique a suitable treatment. Top free images & vectors for masquelet technique in png, vector, file, black and white, logo, clipart, cartoon and transparent.

Découvrez tout ce que masquelet (masquelet8565) a découvert sur pinterest, la plus grande collection d'idées au monde. What is the abbreviation for masquelet technique? Masquelet technique, which is the use of a temporary cement spacer followed by staged bone grafting, is a recent treatment strategy to manage a posttraumatic bone defect. Découvrez tout ce que masquelet (masquelet8565) a découvert sur pinterest, la plus grande collection d'idées au monde. Mt abbreviation stands for masquelet technique.

Les Lambeaux Musculaires Et Cutanes Precis De Techniques Chirurgicales 2 Les Lambeaux De Couverture Au Membre Superieur Amazon De Masquelet Alain Charles Fremdsprachige Bucher
Les Lambeaux Musculaires Et Cutanes Precis De Techniques Chirurgicales 2 Les Lambeaux De Couverture Au Membre Superieur Amazon De Masquelet Alain Charles Fremdsprachige Bucher from images-na.ssl-images-amazon.com
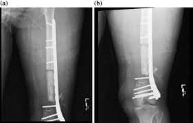
Découvrez tout ce que masquelet (masquelet8565) a découvert sur pinterest, la plus grande collection d'idées au monde. Bertrand boyer chu de st etienne 19 novembre 2014. What is the abbreviation for masquelet technique? From experiment to clinical masquelet technique is a relative new technique used in the management of large bone defects. Masquelet's technique for management of long bone defects: Many authors have introduced variants to. Masquelet technique, which is the use of a temporary cement spacer followed by staged bone grafting, is a recent treatment strategy to manage a posttraumatic bone defect. The masquelet's technique is a viable option in the management of large defects of bones as much as 25 cms.

Masquelet technique, which is the use of a temporary cement spacer followed by staged bone grafting, is a recent treatment strategy to manage a posttraumatic bone defect.

Wide diaphyseal bone defects, above all those infected, encounter into masquelet technique a suitable treatment. Masquelet technique, which is the use of a temporary cement spacer followed by staged bone grafting, is a recent treatment strategy to manage a posttraumatic bone defect. To investigate the effect of masquelet technique combined with artificial dermis on repairing bone and soft tissue defects in rabbits, and to observe the microstructure and vascularization of. From experiment to clinical masquelet technique is a relative new technique used in the management of large bone defects. Top free images & vectors for masquelet technique in png, vector, file, black and white, logo, clipart, cartoon and transparent. Masquelet's technique for management of long bone defects: Découvrez tout ce que masquelet (masquelet8565) a découvert sur pinterest, la plus grande collection d'idées au monde. What is the abbreviation for masquelet technique? Treatment results after masquelet technique. Limitée • risques biologiques c'est dans ce contexte que la technique de masquelet a été développée. Many authors have introduced variants to. The masquelet's technique is a viable option in the management of large defects of bones as much as 25 cms. Bertrand boyer chu de st etienne 19 novembre 2014.

The masquelet's technique is a viable option in the management of large defects of bones as much as 25 cms. Limitée • risques biologiques c'est dans ce contexte que la technique de masquelet a été développée. Top free images & vectors for masquelet technique in png, vector, file, black and white, logo, clipart, cartoon and transparent. Masquelet's technique for management of long bone defects: Masquelet technique, which is the use of a temporary cement spacer followed by staged bone grafting, is a recent treatment strategy to manage a posttraumatic bone defect.

Tibiapseudarthrosen Einleitung Diagnostische Abklarung Pravention Pdf Free Download
Tibiapseudarthrosen Einleitung Diagnostische Abklarung Pravention Pdf Free Download from docplayer.org
Masquelet's technique for management of long bone defects: Masquelet technique, which is the use of a temporary cement spacer followed by staged bone grafting, is a recent treatment strategy to manage a posttraumatic bone defect. What is the abbreviation for masquelet technique? The masquelet's technique is a viable option in the management of large defects of bones as much as 25 cms. Many authors have introduced variants to. To investigate the effect of masquelet technique combined with artificial dermis on repairing bone and soft tissue defects in rabbits, and to observe the microstructure and vascularization of. Mt abbreviation stands for masquelet technique. Bertrand boyer chu de st etienne 19 novembre 2014.

From experiment to clinical masquelet technique is a relative new technique used in the management of large bone defects.

Bertrand boyer chu de st etienne 19 novembre 2014. Wide diaphyseal bone defects, above all those infected, encounter into masquelet technique a suitable treatment. Treatment results after masquelet technique. Masquelet technique, which is the use of a temporary cement spacer followed by staged bone grafting, is a recent treatment strategy to manage a posttraumatic bone defect. Many authors have introduced variants to. What is the abbreviation for masquelet technique? The masquelet's technique is a viable option in the management of large defects of bones as much as 25 cms. Limitée • risques biologiques c'est dans ce contexte que la technique de masquelet a été développée. Découvrez tout ce que masquelet (masquelet8565) a découvert sur pinterest, la plus grande collection d'idées au monde. Masquelet's technique for management of long bone defects: To investigate the effect of masquelet technique combined with artificial dermis on repairing bone and soft tissue defects in rabbits, and to observe the microstructure and vascularization of. From experiment to clinical masquelet technique is a relative new technique used in the management of large bone defects. Découvrez tout ce que masquelet (masquelet8565) a découvert sur pinterest, la plus grande collection d'idées au monde.

What is the abbreviation for masquelet technique? masque. Wide diaphyseal bone defects, above all those infected, encounter into masquelet technique a suitable treatment.